티스토리 뷰
뇌졸중의 한 종류인 뇌경색은 뇌의 한 부분으로의 혈류 장애로 인해 뇌 조직이 손상되어 발생하는 의학적 응급 상황입니다. 뇌경색 초기증상 및 징후를 빨리 인식하는 것은 즉각적인 치료로 사망의 위험을 크게 줄일 수 있기 때문에 아주 중요합니다. 이 글에서는 뇌경색 초기증상, 뇌경색 및 뇌졸중 치료에 대한 미국 의학 협회(AMA) 지침, 추가정보에 대해 알아보려고 합니다.
I. 뇌경색 초기증상
뇌경색 초기증상, 징후를 인식하는 것은 뇌 손상을 최소화하고 환자의 결과를 개선할 수 있는 시기 적절한 치료를 받는데 매우 중요합니다. 뇌경색 초기증상은 영향을 받는 뇌 영역과 뇌졸중의 중증도에 따라 사람마다 다를 수 있습니다. 일반적인 뇌경색 초기증상은 다음과 같습니다.




1. 갑작스런 쇠약 또는 무감각:
뇌경색은 종종 편마비 또는 편마비라고 불리는 신체 한쪽의 갑작스러운 쇠약 또는 무감각으로 이어질 수 있습니다. 이것은 영향을 받은 뇌 부분이 해당 근육과 통신할 수 없기 때문에 발생하며, 그 결과 근육 제어 및 감각이 부족해지는데요. 얼굴, 팔 또는 다리가 영향을 받을 수 있으며 보통 한쪽이 비대칭으로 제어가 안되는 경우 뇌경색 초기증상으로 의심해볼 수 있습니다.
2. 말을 하거나 말을 이해하는 데 어려움:
뇌경색 동안 사람은 언어를 말하거나 이해하는 데 어려움을 겪는 실어증을 경험할 수 있습니다. 뇌의 어느 부분이 영향을 받았는지에 따라 단어를 구성하거나 조리 있게 말하거나 다른 사람의 말을 이해하는 데 어려움을 겪을 수 있습니다. 불분명한 말, 잘못된 단어 사용 또는 대화를 따라갈 수 없는 경우 뇌경색 초기증상으로 의심 가능합니다.
3. 시력 문제:
시각 처리를 담당하는 뇌 영역에 영향을 미치면 다양한 시력 문제가 발생할 수 있습니다. 여기에는 갑작스러운 흐림, 복시(복시) 또는 한쪽 또는 양쪽 눈의 부분적 또는 완전한 시력 상실이 포함될 수 있습니다. 뇌경색 초기증상으로 시력 문제가 나타나면 뇌 손상의 정도와 범위에 따라 일시적이거나 영구적일 수 있습니다.






4. 갑작스럽고 심한 두통:
원인을 알 수 없는 갑작스럽고 강렬한 두통은 종종 일생 중 최악의 두통으로 묘사되며 출혈 (출혈성 뇌졸중) 또는 뇌로 가는 혈류 감소(허혈성 뇌졸중)로 인해 뇌의 압력이 증가한 결과일 수 있습니다.
5. 현기증 또는 균형 상실:
뇌경색은 균형을 유지하고 움직임을 조정하는 뇌의 능력을 손상시켜 현기증 또는 균형 상실로 이어질 수 있습니다. 뇌경색 초기증상으로 환자는 발에 불안정함을 느끼거나, 걷기가 어렵거나, 팔다리를 조정하는 데 어려움을 겪을 수 있습니다. 운동 실조증으로 알려진 이 증상은 소뇌나 뇌간이 뇌졸중의 영향을 받을 때 더 흔합니다.
6. 혼란 또는 변화된 정신 상태:
정상적인 뇌 기능의 붕괴로 인해 뇌경색 동안 인지 및 정서적 변화가 발생할 수 있습니다. 이는 혼란, 방향 감각 상실, 기억력 문제 또는 지침을 따르는 어려움으로 나타날 수 있습니다. 뇌경색을 앓는 사람은 영향을 받는 뇌 영역에 따라 갑작스러운 기분 변화, 동요 또는 무관심을 보일 수도 있습니다.






미국 뇌졸중 협회는 뇌경색의 가장 일반적인 증상을 인식하고 기억하는 데 도움이 되도록 "FAST (Face, Arms, Speech, Time)" 라는 아래의 지침을 활용할 것을 권장합니다.
• Face (얼굴): 그 사람에게 미소를 짓도록 요청하십시오. 얼굴 한쪽이 처지는 경우 뇌경색 초기증상 의심
• Arms (팔): 양팔을 들어 올리도록 요청하십시오. 한쪽 팔이 아래로 표류하거나 들어 올릴 수 없는 경우 뇌경색 초기증상으로 의심
• Speech (말하기): 간단한 문구를 반복하도록 요청하십시오. 그들의 말이 불분명하거나 이해하기 어려운 경우 의심
• Time (시간): 이러한 뇌경색 초기증상 중 하나라도 나타나면 즉시 응급 서비스에 전화를 하세요.
뇌경색을 경험하는 모든 개인이 이러한 증상을 모두 나타내는 것은 아니며 일부는 비정형적인 증상을 보일 수 있다는 점에 유의하는 것이 중요합니다. 어쨌든 뇌경색 초기증상으로 의심되면 즉시 치료를 받으십시오.






II. 뇌경색에 대한 미국 의학 협회 지침
미국의학협회(AMA)는 미국심장협회(AHA) 및 미국뇌졸중협회(ASA)와 같은 조직에서 뇌졸중 진단, 관리 및 치료를 위해 수립한 지침을 지지하고 지지합니다. 이 지침의 몇 가지 주요 측면은 다음과 같습니다.



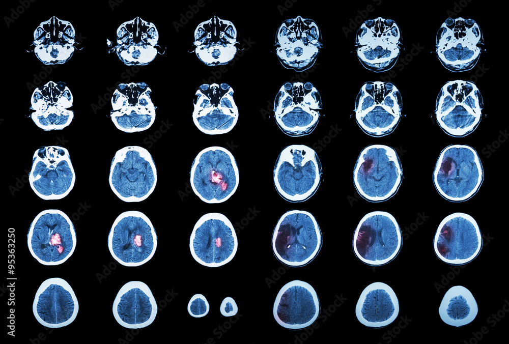
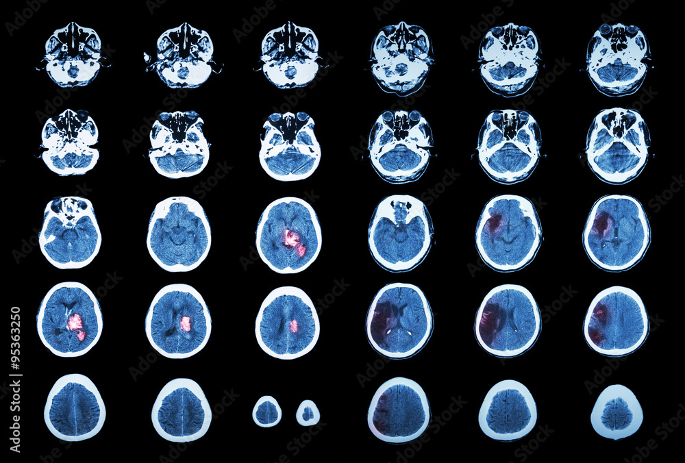
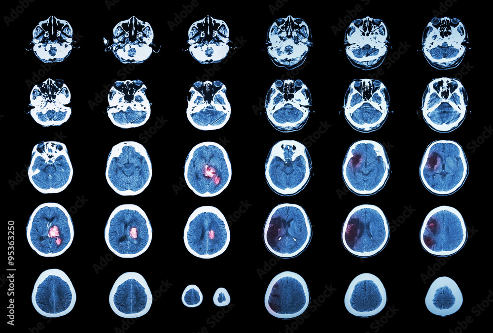
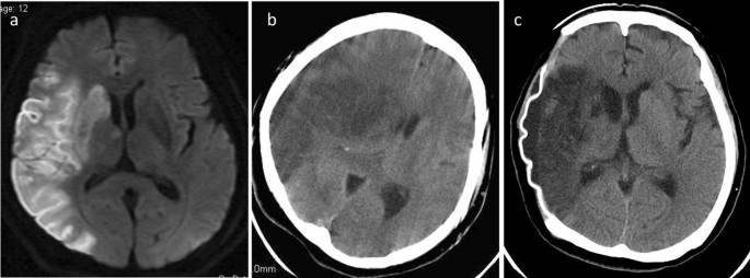
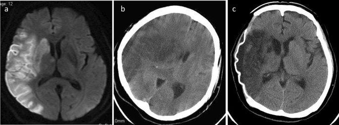
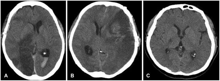
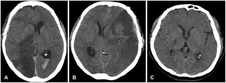
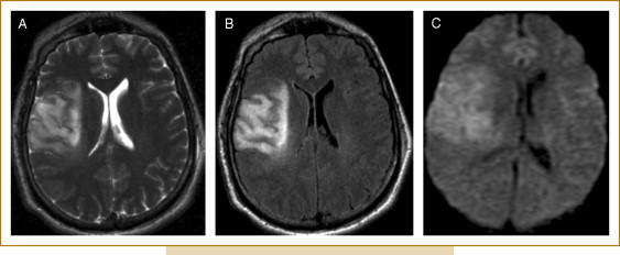
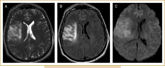
1. 신속한 평가 및 진단: 뇌경색 초기증상과 징후를 신속하게 인식하는 것은 적시에 개입하고 환자 결과를 개선하는 데 필수적입니다. 의료 전문가는 NIHSS(National Institutes of Health Stroke Scale)와 같은 도구를 사용하여 잠재적인 뇌경색 환자를 신속하게 평가하고 컴퓨터 단층 촬영(CT) 스캔 또는 자기 공명 영상(MRI)을 포함한 진단 테스트를 시작하여 진단을 확인하고 유형을 결정해야 합니다.
2. 즉각적인 치료: 뇌경색이 진단되면 뇌 손상을 최소화하기 위해 가능한 한 빨리 치료를 시작해야 합니다. 특정 치료는 뇌출혈 유형에 따라 다릅니다(허혈성 또는 출혈성) 다음과 같이 분류할 수 있습니다.
• 허혈성 뇌졸중(혈전이 뇌로 가는 혈류를 차단하여 발생)의 경우 증상이 시작된 후 처음 4.5시간 이내에 조직 플라스미노겐 활성화제(tPA)와 같은 혈전 용해 약물을 투여하면 결과를 크게 개선할 수 있습니다. 경우에 따라 기계적 혈전 제거술과 같은 혈관 내 절차를 수행하여 혈전을 제거하고 혈류를 회복할 수도 있습니다.
• 출혈성 뇌졸중(뇌 내 출혈로 인해 발생)의 치료는 출혈 조절, 두개골 내 압력 감소, 근본 원인 해결에 중점을 둡니다. 여기에는 혈압을 조절하거나 항응고를 역전시키거나 뇌 부종을 줄이기 위한 약물이 포함될 수 있습니다. 어떤 경우에는 혈액을 제거하거나 손상된 혈관을 복구하기 위해 외과적 개입이 필요할 수 있습니다.









3. 2차 예방 및 위험인자 관리: 뇌경색 환자는 뇌에 건강한 생활습관을 갖도록 교육과 지원을 받고 고혈압, 고콜레스테롤, 당뇨병, 심방세동 등의 위험인자를 관리해야 합니다. 여기에는 약물 관리, 생활 방식 수정 및 뇌경색 재활 프로그램 참여가 포함될 수 있습니다.
4. 재활 및 장기 후속 치료: 뇌경색 재활은 회복의 필수 구성 요소이며 물리, 작업 및 언어 치료를 포함할 수 있습니다. 여러 분야의 의료 전문가 팀이 함께 협력하여 환자의 고유한 필요와 목표를 해결하는 맞춤형 재활 계획을 개발하고 구현해야 합니다. 환자의 회복을 모니터링하고, 치료 계획을 준수하는지 확인하고, 필요에 따라 약물 및 생활 방식 권장 사항을 조정하려면 의료 서비스 제공자와의 정기적인 후속 조치가 필요합니다.
III. 뇌경색 인식 및 대응을 위한 추가 정보
뇌경색 초기증상을 이해하고 AMA 및 기타 주요 기관에서 제시한 지침을 따르는 것 외에도 뇌경색의 위험과 사건을 인식하고 대응하는 능력에 영향을 미칠 수 있는 다른 요인을 고려하는 것이 중요합니다. 이러한 요인에는 다음이 포함될 수 있습니다.
1. 개인적인 위험 요인에 대한 인식: 뇌경색, 뇌졸중의 가족력, 일과성 허혈 발작(TIA)의 개인 병력 또는 고혈압이나 당뇨병과 같은 기타 위험 요인이 있는 사람과 같이 뇌경색의 위험이 높은 분은 특히 뇌경색의 초기 징후를 인식하고 대응하는 데 주의를 기울여야 합니다.
2. 응급 의료 서비스 이용: 뇌경색 발생 시 신속한 의료 조치가 중요합니다. 가족이나 가까운 사람들이 가장 가까운 응급실이나 뇌경색 센터의 위치를 알고 있고 응급 치료를 받을 수 있는 계획을 가지고 있는지 확인하십시오.






IV. 결론
뇌경색 초기증상을 인식하고 즉각적인 치료를 받으면 환자의 결과를 크게 개선하고 장기적인 장애 위험을 줄일 수 있습니다. 미국 의학 협회 및 기타 주요 기관에서 제시한 지침 및 권장 사항을 준수함으로써 이 생명을 위협하는 질병에 대한 지식과 인식을 높이고 적절하게 대응하는 데 필요한 조치를 취할 수 있습니다. 뇌경색을 치료하는 데 있어서는 뇌경색 초기증상을 발견하는 것과 매초가 중요하다는 것을 기억하세요. 이 글이 도움이 되었으면 좋겠습니다.









